SST c 0.5mm micropunch grafting for vitiligo (Journal of Dermatology 2…
첨부파일
-
- 첨부파일: 강의김동석.배정민.jpg (153.2K)35
-
- 첨부파일: SST2.jpg (752.5K)18
-
- 첨부파일: SST3.jpg (718.1K)42
-
- 첨부파일: SST.jpg (601.7K)20
-
- 첨부파일: 축하화환.jpg (671.6K)29
짧은주소
본문
SST c 0.5mm micropunch grafting for vitiligo (Journal of Dermatology 2020) by 김동석.배정민
대피연 김동석 명예회장님과 가톨릭의대 피부과 배정민 교수님께서 SST와 관련된 논문을 새롭게 ‘Journal of Dermatology’ 2020년도 최신호에 게재되었습니다(Journal of Dermatology 2020; 47: 749–754).
이번 논문에서 ‘Skin seeding technique (SST)’라는 용어가 처음으로 국제적인 학술지에 공인 되었습니다.
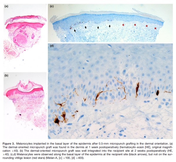
또한, 이번 연구는 punch 직경을 0.5 mm로 줄였을 때 위아래를 바꾸어 심어도 효과에 차이가 없음을 동물과 임상실험을 통해 보이고 이를 ‘Skin seeding technique (SST)’으로 명명한 데에 의의가 있습니다.
이로서 SST는 백반증 치료에 새로운 치료 방법으로 공인 되었습니다.
앞으로도 백반증 치료를 위한 SST의 도전은 계속될 것입니다.
▷논문 본문 바로가기:
http://www.laserpro.or.kr/bbs/?t=6gK
▷ORIGINAL ARTICLE
Skin seeding technique with 0.5-mm micropunch grafting for vitiligo irrespective of the epidermal–dermal orientation: Animal and clinical studies
Dong Seok KIM,1,* Hyun Jeong JU,2,* Han Na LEE,2 In Hye CHOI,3 Sung Hye EUN,2 Jiehoon KIM,4 Jung Min BAE2
1Eureka Skin & Laser Clinic, Seoul, 2Department of Dermatology, St Vincent’s Hospital, College of Medicine, The Catholic University of Korea, Suwon, 3Department of Dermatology, Bucheon St Mary’s Hospital, College of Medicine, The Catholic University of Korea, Bucheon, 4Dr Kim’s Skin & Laser Clinic, Suwon, Korea
Journal of Dermatology 2020; 47: 749–754
















댓글목록
등록된 댓글이 없습니다.